Friday, 15 November 2013

RADIOLOGY MCQ--Hirschsprung disease

Hirschsprung disease

Q.Imaging study that suggest of Hirschsprung disease are all except
a.gradual  transition zone
b.the rectal diameter same or smaller than the sigmoid colon
c.retention of contrast in colon in delayed film(>24hrs film)
d.absence of rectal gas

ANS =====a



  • Hirschsprung's disease   is a form of functional low bowel obstruction,
  • due to failure of caudal migration of neuroblasts in the developing bowel and so there is  absence of parasympathetic intrinsic ganglion cells in both Auerbach's and Meissner's plexuses in the bowel wall.
  • The distal large bowel from the point of neuronal arrest to the anus is aganglionic.
  •  The existence of ‘skip lesions’ in Hirschsprung's disease is extremely unusual

TYPES

1.SHIRT SEGMENT DISEASE ; In about 75% of cases, the aganglionic segment extends only to the rectosigmoid region (short segment disease)
2.LONG SEGMENT ; Long segment disease  involves a portion of the colon proximal to the sigmoid.
3. total aganglionosis coli disease
4. total intestinal Hirschsprung's disease
5.Ultrashort segment disease  is rare and involves only the anus at the level of the internal sphincter.


  • In short segment disease there is a male preponderance but the sex ratio is equal in long segment diseasedise
  • Long segment  has a strong familial incidence; short segment diseases is sporadic.

ASSOCIATIONS
1.Down syndrome ;Approximately 5% of children with Hirschsprung's disease  have Down's syndrome.

2. ileal and colonic atresias, 
3.cleft palate
4.polydactyly
5.craniofacial anomalies
6.cardiac septal defects  

CLINICAL FEATURE
  • Neonates present with abdominal distension, vomiting (which may be bilious) and failure to pass meconium. Stooling may follow a digital rectal examination or the insertion of a rectal thermometer, before the symptoms recur. 
  • Children who present later in childhood are unusual but may do so with a history of chronic constipation and failure to thrive, or rarely with an acute abdomen secondary to colonic volvulus.
  • Enterocolitis is the leading cause of death in Hirschsprung's diseasedand has an increased frequency in long segment disease
  • A suction or full thickness rectal biopsy is required for the definitive diagnosis of Hirschsprung's disease

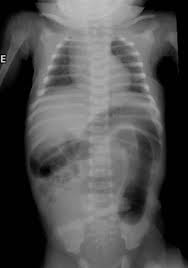
The abdominal radiograph 


1.Typicall  a low bowel obstruction, commonly with colonic dilatation out of proportion to the small bowel. 
2.The absence of rectal gas is characteristic
3.About 5% of infants have a pneumoperitoneum 
4.Intraluminal small bowel calcifications .


Barium Study

  • A water-soluble contrast medium enema should be performed and has a diagnostic accuracy equivalent to barium. 
  • The most important radiograph is a lateral view of the rectum during slow filling


1.Narrow rectum and cone shaped  transition zone. In short segment diseasedthe rectum will be narrow and there will be a cone-shaped transition zone to the more proximal, dilated, ganglionated bowel. The radiological transition zone is commonly found to be distal to the pathological transition zone.
.The transition zone may not be present in the neonate, as it takes time for the proximal bowel to dilate.
2.Reversed recto-sigmoid ratio; Normally the rectum should always be the most distensible portion of the bowel and have a diameter greater than that of the sigmoid colon (recto:sigmoid ratio > 1). In short segment disease this ratio is reversed.
3.Retention of contrast medium above the sigmoid colon on a delayed radiograph after 24 h is a non-specific sign of Hirschsprung's disease.


  •  An enema  is contraindicated in the infant with fulminant colitis. Giant stercoral ulcers may also be seen in older children with a delayed presentation














REF:

1. Adam: Grainger & Allison's Diagnostic Radiology, 5th ed
.
2.bestpractice.bmj.com 


www.gfmer.ch


No comments:

Post a Comment